Pie / Rodillas en equino varo
El pie equinovaro es una deformidad congénita donde el pie está en punta y la planta girada hacia adentro.
El pie equinovaro es una deformidad congénita donde el pie está en punta y la planta girada hacia adentro.
Técnicas quirúrgicas pediátricas restauran función y apariencia de extremidades con lesiones graves o deformidades congénitas, buscando mejorar funcionalidad y estética.
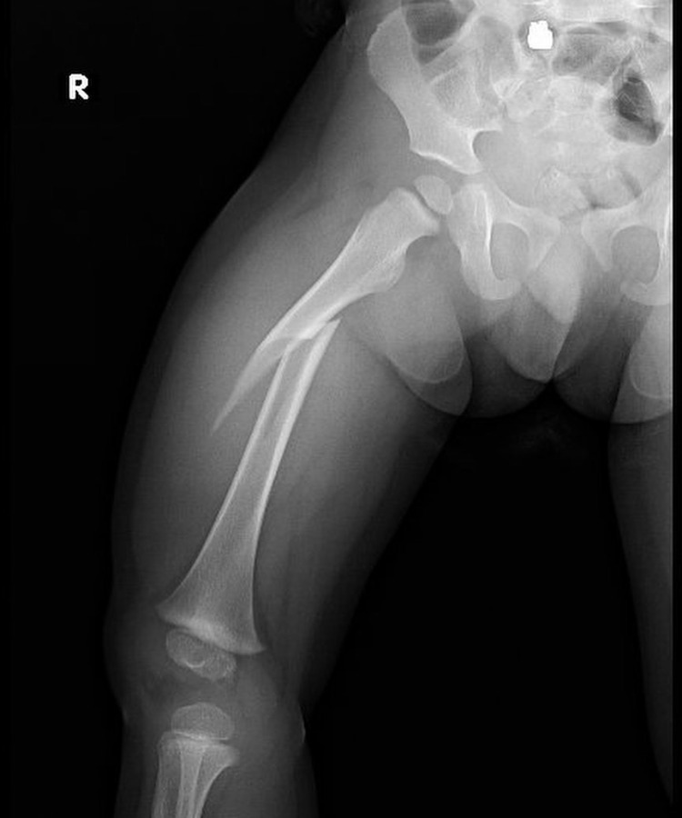
Las fracturas en niños son comunes y pueden afectar su crecimiento si no se tratan debido a las características únicas de sus huesos en desarrollo.
El pie plano se caracteriza por la disminución o ausencia del arco plantar, haciendo que la planta toque el suelo al estar de pie. Es común en niños.
Las deformidades de pie y rodilla incluyen genu varo, genu valgo, pie plano y pie cavo, con causas congénitas o postraumáticas.